Return to Slide List
Normal Kidney Cortex
The cortex or outer region of the kidney contains the glomeruli
and Bowman's capsules where
filtration occurs and the proximal and
distal convoluted tubules where reabsorption and secretion
take place. Note
the even appearance of the glomeruli and tubules.
Kidney Cortex
(40X2.0)
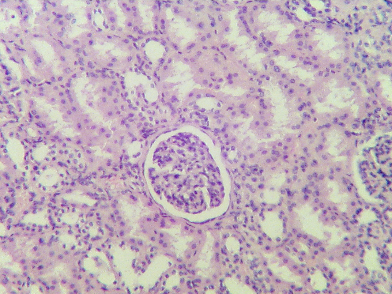
Kidney Cortex (100X2.8)

Glomeruli appear as round solid speckled structures. Each is surrounded by a
clear space.
The round cross sections of tubules fill the regions between glomeruli. Each
tubule an open center.
Kidney Cortex (400X1.6)
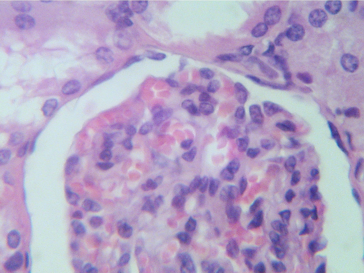
Glomerulus (400X2.8)

Note the numerous dark blue nuclei of the
cells
Note the numerous dark blue nuclei of the
making up this glomerulus. The opening from
the
glomerular cells. Observe the capillaries containing
Bowman's capsule of this glomerulus to
the
red RBCs, which have no nuclei.
proximal convoluted tubule can be seen at the top
of the capsule.
Normal Kidney Medulla
The medulla or inner region of the kidney contains the loops of Henle
and collecting ducts where water reabsorption occurs. Note the even
appearance of these structures.
Kidney medulla (100X1.6)
Kidney medulla (400X2.8)

Return to Slide List
Copyright 2020: Augustine G. DiGiovanna, Ph.D., Salisbury University, Maryland
The materials on this site are licensed under CC BY-NC-SA
4.0 .
![]()
https://www.biologyofhumanaging.com/Figures/CC-BY-NS-SA%20image.jpg
Attribution-NonCommercial-ShareAlike
This license requires that reusers give
credit to the creator. It allows reusers to distribute, remix, adapt, and build
upon the material in any medium or format, for noncommercial purposes only. If
others modify or adapt the material, they must license the modified material
under identical terms.
Previous print editions of the text Human Aging: Biological Perspectives are ©
Copyright 2000, 1994 by The McGraw-Hill Companies, Inc. and 2020 by Augustine
DiGiovanna.
View License Deed | View Legal Code