Return to Slide List
Atherosclerosis of Coronary Artery
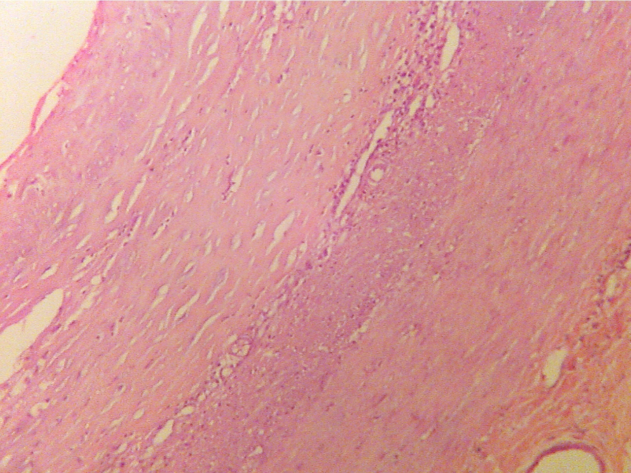
First observe a slide of an early atherosclerotic lesion. The
pink, noncellular material in the intima of the coronary artery is the
atherosclerotic
plaque. This lesion has already reduced the lumen by about 20%. Now
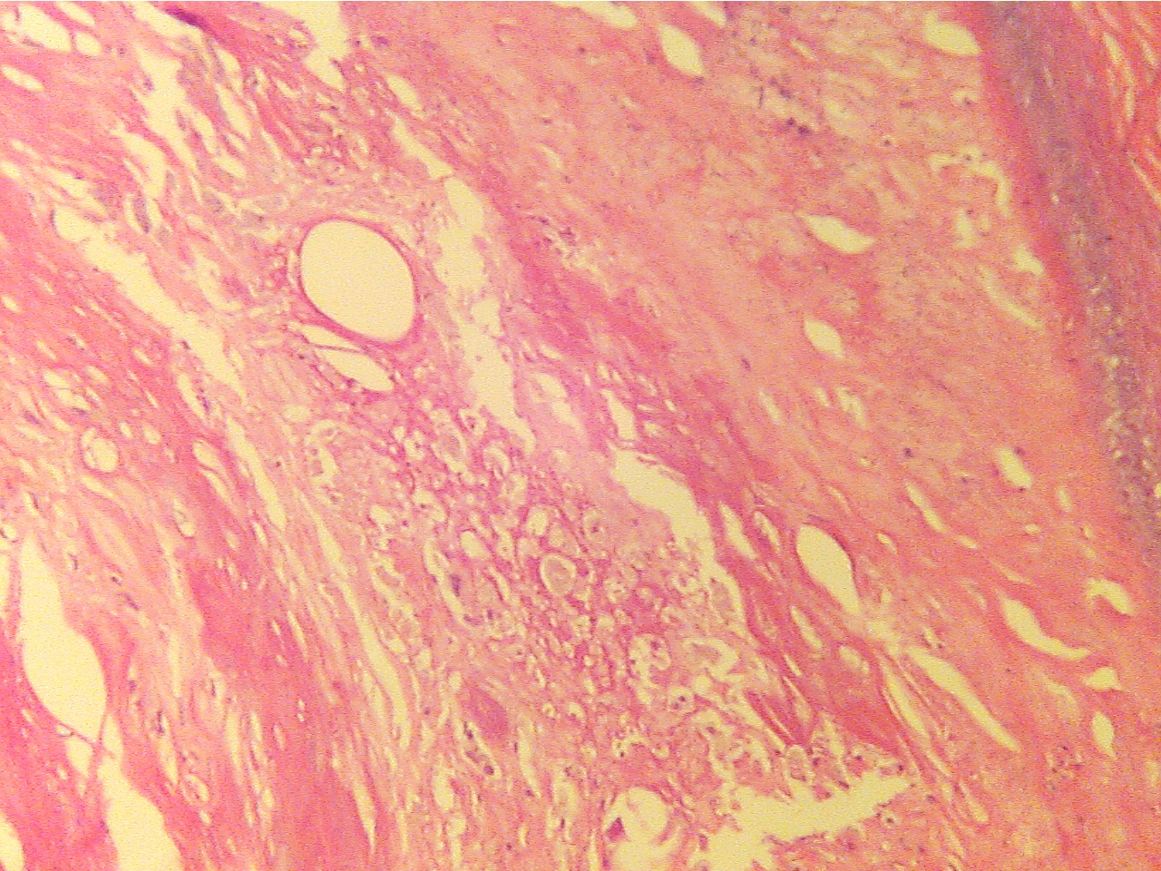
observe one of the later atherosclerotic plaques.
Note the degree of occlusion by the lesion. It may take years for
plaque to reach this size.
Early lesion
(40X1.0 - a1)

Normal artery wall at left, lumen in center,
lesion (thickened wall) at right.
Normal region (100X2.0 - a1)
Early lesion (100X2.0 - a2)

Layers are areolar tissue (left), externa (thick pink
Lumen at upper left, endothelium (thin layer),
collagen fibers),
smooth muscle (thick middle layer),
intima, fibrous plaque within intima, intima (darker
granular
tunica intima (thick granular layer),
endothelium
layer), smooth muscle (thick pink), externa (lower right)
(thin red layer), lumen at
right
Advanced lesion (40X1.0 - b1)

Lumen at left of center, lesion at right
Normal region (100X2.0 - b1)
Advanced lesion (100X2.0 - b2)

Externa at left, lumen at right
Lumen at far lower left corner, lesion of mixed
substances and cells fills center region
Occlusive lesion
(40X1.0 - c1)

Lumen at far left of center, crystalline lesion fills center
Fibrous plaque (100X2.0 - c1)
Plaque replaces intima and smooth muscle (100X2.0 - c2)
Layers are areolar tissue (left), externa (red collagen
Amorphous
acellular material (upper left) and cellular
fibers), smooth muscle (thin red middle layer), tunica
and
fibrous plaque (center) replace intima and smooth muscle,
intima (blue granular layer), fibrous plaque
(thick, pink),
externa (collagen fibers) remains at lower right
endothelium (thin layer along lumen), lumen (at right)
Center of plaque (100X2.0 - c3)
Endothelium (400X2.0 - c4)

Center of amorphous acellular
region
Normal endothelium (lower right bordering lumen), plaque
of plaque, much of which appears crystalline
(right, underlies endothelium), lumen (left),
damaged
endothelium with adhering RBCs (middle and top)
Return to Slide List
Copyright 2020: Augustine G. DiGiovanna, Ph.D., Salisbury University, Maryland
The materials on this site are licensed under CC BY-NC-SA
4.0 .
![]()
https://www.biologyofhumanaging.com/Figures/CC-BY-NS-SA%20image.jpg
Attribution-NonCommercial-ShareAlike
This license requires that reusers give
credit to the creator. It allows reusers to distribute, remix, adapt, and build
upon the material in any medium or format, for noncommercial purposes only. If
others modify or adapt the material, they must license the modified material
under identical terms.
Previous print editions of the text Human Aging: Biological Perspectives are ©
Copyright 2000, 1994 by The McGraw-Hill Companies, Inc. and 2020 by Augustine
DiGiovanna.
View License Deed | View Legal Code