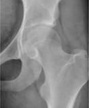
Fig. 9.10 Osteoarthritis. (Sources of images
and videos below. Used with permission.)

Note: (1) the progressive roughening of the round ball and its socket,
(2) the decreasing clear space (cartilage and fluid) between them,
(3) and the extra rough bone (white material) around the joint.
Videos
https://blausen.com/en/video/synovial-membrane/
https://blausen.com/en/video/osteoarthritis/
https://blausen.com/en/video/osteoarthritis-of-the-hip/
©
Copyright 2020: Augustine G. DiGiovanna, Ph.D.,
Salisbury University, Maryland
The materials on this site are licensed under CC BY-NC-SA
4.0
![]()
Attribution-NonCommercial-ShareAlike
This license requires that reusers
give credit to the creator. It allows reusers
to distribute, remix, adapt, and build upon the material in any medium
or format, for noncommercial purposes only. If others modify or adapt
the material, they must license the modified material under identical
terms.
Previous print editions of the text Human Aging: Biological Perspectives
are © Copyright 2000, 1994 by The McGraw-Hill Companies, Inc. and 2020
by Augustine DiGiovanna.
View License Deed |
View Legal Code
Sources of images
and videos below. Used with permission.

https://commons.wikimedia.org/wiki/File:0910_Oateoarthritis_Hip.jpg
Description Version
8.25 from the Textbook
OpenStax Anatomy and Physiology
Published May 18, 2016
Date 18
May 2016
Source https://cnx.org/contents/FPtK1zmh@8.25:fEI3C8Ot@10/Preface
Author OpenStax
I, the copyright holder of this work, hereby publish it under the following
license:
This file is licensed
under the Creative Commons Attribution 4.0
International license.
You are free:
·
to share – to copy,
distribute and transmit the work
·
to remix – to adapt the work
Under the following conditions:
attribution – You must give
appropriate credit, provide a link to the license, and indicate if changes were
made. You may do so in any reasonable manner, but not in any way that suggests
the licensor endorses you or your use.

https://upload.wikimedia.org/wikipedia/commons/5/51/X-ray_of_a_normal_hip_joint.jpg
https://commons.wikimedia.org/wiki/File:X-ray_of_a_normal_hip_joint.jpg
Description English: For context, see: en:Hip pain
Date 13
January 2016
Source (2016).
"Imaging of Hip Pain: From Radiography to Cross-Sectional Imaging
Techniques". Radiology
Research and Practice 2016: 1–15. DOI:10.1155/2016/6369237.
ISSN 2090-1941.
Author Article authors: Ruiz Santiago, Fernando; Santiago Chinchilla, Alicia;
Ansari, Afshin; Guzmán Álvarez, Luis; Castellano García, Maria del Mar;
Martínez Martínez, Alberto; Tercedor
Sánchez, Juan
This file is
licensed under the Creative Commons Attribution 4.0
International license.
You are free:
·
to share – to copy,
distribute and transmit the work
·
to remix – to adapt the work
Under the following conditions:
attribution – You must give
appropriate credit, provide a link to the license, and indicate if changes were
made. You may do so in any reasonable manner, but not in any way that suggests
the licensor endorses you or your use.

https://commons.wikimedia.org/wiki/File:X-ray_of_hip_osteoarthritis.jpg
Description English: For context, see: en:Hip pain
Date 13
January 2016
Source (2016).
"Imaging of Hip Pain: From Radiography to Cross-Sectional Imaging
Techniques". Radiology
Research and Practice 2016: 1–15. DOI:10.1155/2016/6369237.
ISSN 2090-1941.
Author Article authors: Ruiz Santiago, Fernando; Santiago Chinchilla, Alicia;
Ansari, Afshin; Guzmán Álvarez, Luis; Castellano García, Maria del Mar;
Martínez Martínez, Alberto; Tercedor
Sánchez, Juan
This file is
licensed under the Creative Commons Attribution 4.0
International license.
You are free:
·
to share – to copy,
distribute and transmit the work
·
to remix – to adapt the work
Under the following conditions:
attribution – You must give
appropriate credit, provide a link to the license, and indicate if changes were
made. You may do so in any reasonable manner, but not in any way that suggests
the licensor endorses you or your use.

https://commons.wikimedia.org/wiki/File:Severe_(T%C3%B6nnis_grade_3)_osteoarthritis_of_the_hip.jpg
Description English: Projectional radiography of the left hip of
a 65 year old man with pain upon hip movement. It
shows severe (Tönnis grade 3) osteoarthritis.
Date 22
March 2017
Source Own work
Author Mikael Häggström
I, the copyright holder of this work, hereby publish it under the following
license:
This file is made available under the Creative Commons CC0 1.0 Universal
Public Domain Dedication.
The person who
associated a work with this deed has dedicated the work to the public domain by waiving all of
their rights to the work worldwide under copyright law, including all related
and neighboring rights, to the extent allowed by law. You can copy, modify,
distribute and perform the work, even for commercial purposes, all without
asking permission.

NO COPYRIGHT
https://upload.wikimedia.org/wikipedia/commons/1/11/XRay_ElbowOsteoarthritis_RL_Lateral.jpg
Videos
https://blausen.com/en/video/synovial-membrane/
https://blausen.com/en/video/osteoarthritis/
https://blausen.com/en/video/osteoarthritis-of-the-hip/
Sources of images and videos below. Used with permission.
Videos
https://blausen.com/en/video/synovial-membrane/
https://blausen.com/en/video/osteoarthritis/
https://blausen.com/en/video/osteoarthritis-of-the-hip/

Description English:
Osteoarthritis in the hip. This is an edited version of the source
image made for use in the "Anatomist" iOS and Android app and shared
here under the terms of the source image's Share Alike Creative Commons
license.
Date 1 February 2017
Source https://commons.wikimedia.org/wiki/File:0910_Oateoarthritis_Hip_A.png
Author CFCF
This file is licensed under the Creative Commons Attribution-Share Alike 4.0 International license.
You are free:
·
to share – to copy, distribute and transmit the work
·
to remix – to adapt the work
Under the following
conditions:
·
attribution – You must give appropriate credit, provide a link to the license, and
indicate if changes were made. You may do so in any reasonable manner, but not
in any way that suggests the licensor endorses you or your use.
share alike – If you remix, transform, or build upon the
material, you must distribute your contributions under the same or compatible license as the original.


Description English:
·
Based off
Date 14
October 2015
Source Own work
Author CFCF
I, the copyright holder of this work, hereby publish it under the following
license:
This file is
licensed under the Creative Commons Attribution-Share
Alike 4.0 International license.
You are free:
·
to share – to copy,
distribute and transmit the work
·
to remix – to adapt the work
Under the following conditions:
·
attribution – You must give
appropriate credit, provide a link to the license, and indicate if changes were
made. You may do so in any reasonable manner, but not in any way that suggests
the licensor endorses you or your use.
share alike – If you remix,
transform, or build upon the material, you must distribute your contributions
under the same or compatible
license as the original.

Description Version 8.25 from the Textbook
OpenStax Anatomy and Physiology
Published May 18, 2016
Date 18 May 2016
Source https://cnx.org/contents/FPtK1zmh@8.25:fEI3C8Ot@10/Preface
Author OpenStax
I, the copyright
holder of this work, hereby publish it under the following license:
This file is licensed under the Creative Commons Attribution 4.0 International license.
You are free:
·
to share – to copy, distribute and transmit the work
·
to remix – to adapt the work
Under the following
conditions:
attribution – You must give appropriate credit, provide a
link to the license, and indicate if changes were made. You may do so in any
reasonable manner, but not in any way that suggests the licensor endorses you
or your use.

https://commons.wikimedia.org/wiki/File:Severe_(T%C3%B6nnis_grade_3)_osteoarthritis_of_the_hip.jpg
Description English:
Projectional radiography of the left hip of a 65 year old man with pain
upon hip movement. It shows severe (Tönnis grade 3)
osteoarthritis.
Date 22 March 2017
Source Own work
Author Mikael Häggström
I, the copyright
holder of this work, hereby publish it under the following license:
This file is made available under the Creative Commons CC0 1.0 Universal Public Domain Dedication.
The person who associated a work with this deed has dedicated the work to
the public domain by waiving all of their rights to the work worldwide under copyright law,
including all related and neighboring rights, to the extent allowed by law. You
can copy, modify, distribute and perform the work, even for commercial
purposes, all without asking permission.