Fig. 4.10a Aneurysms – (a)
Pressure on structures. (Sources of images below. Used with permission.)

©
Copyright 2020: Augustine G. DiGiovanna, Ph.D.,
Salisbury University, Maryland
The materials on this site are licensed under CC BY-NC-SA
4.0
![]()
Attribution-NonCommercial-ShareAlike
This license requires that reusers
give credit to the creator. It allows reusers
to distribute, remix, adapt, and build upon the material in any medium
or format, for noncommercial purposes only. If others modify or adapt
the material, they must license the modified material under identical
terms.
Previous print editions of the text Human Aging: Biological Perspectives
are © Copyright 2000, 1994 by The McGraw-Hill Companies, Inc. and 2020
by Augustine DiGiovanna.
View License Deed |
View Legal Code

Not
copyrighted
https://commons.wikimedia.org/wiki/File:Thoracic_Aortic_Aneurysm.png
Description English: Thoracic Aortic Aneurysm. Animation in
the reference.[1]
Date 3 February 2016
Source Own work
Author BruceBlaus
Permission
(Reusing this file) This work is free and may be used
by anyone for any purpose. If you wish to use this content, you do not need
to request permission as long as you follow any licensing requirements
mentioned on this page.
wikimedia Foundation has received an e-mail
confirming that the copyright holder has approved publication under the terms
mentioned on this page. This correspondence has been reviewed by an
OTRS member and stored in our
permission archive. The correspondence is available to trusted
volunteers
ticket #2013061010006654.
If you have questions about the archived
correspondence, please use the
OTRS
noticeboard. Ticket link:
https://ticket.wikimedia.org/otrs/index.pl?Action=AgentTicketZoom&TicketNumber=2013061010006654
I, the copyright
holder of this work, hereby publish it under the following license:
This file is licensed under the
Creative commons Attribution-Share Alike 4.0 International license.
You
are free:
·
to share – to copy, distribute and transmit the work
·
to remix – to adapt the work
Under the
following conditions:
·
attribution – You must give appropriate credit, provide a link to
the license, and indicate if changes were made. You may do so in any reasonable
manner, but not in any way that suggests the licensor endorses you or your use.
share alike – If you remix,
transform, or build upon the material, you must distribute your contributions
under the same or compatible license as the original.
Error: title=
and url= must be specified. Blausen Medical. Retrieved on 3 February 2016.


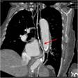
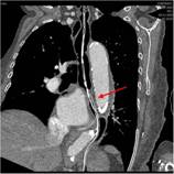
https://bmcgastroenterol.biomedcentral.com/articles/10.1186/s12876-020-01198-y
https://bmcgastroenterol.biomedcentral.com/articles/10.1186/s12876-020-01198-y/figures/3
Case report: an aortic aneurysm as cause of pseudoachalasia
·
Marian Dejaeger,
·
Maud Lormans,
·
Eddy Dejaeger
&
·
Katleen
Fagard
BMC Gastroenterology
volume 20,
Article number: 63 (2020)
This article is licensed under a Creative commons Attribution 4.0 International License, which permits use, sharing, adaptation, distribution and reproduction in any medium or format, as long as you give appropriate credit to the original author(s) and the source, provide a link to the Creative commons licence, and indicate if changes were made. The images or other third party material in this article are included in the article's Creative commons licence, unless indicated otherwise in a credit line to the material. If material is not included in the article's Creative commons licence and your intended use is not permitted by statutory regulation or exceeds the permitted use, you will need to obtain permission directly from the copyright holder. To view a copy of this licence, visit http://creativecommons.org/licenses/by/4.0/. The Creative commons Public Domain Dedication waiver (http://creativecommons.org/publicdomain/zero/1.0/) applies to the data made available in this article, unless otherwise stated in a credit line to the data.