Fig. 10.5 Diseases of the large intestine. (Scroll down for four diseases.) (Sources of images and videos below. Used with permission.)
Diverticulitis
See Video
            
Hemorrhoids
See Video 
 “Hemorrhoids”
Appendicitis
See Video 
 “Appendicitis”
	©   
		Copyright 2020: Augustine G. DiGiovanna, Ph.D., 
		Salisbury University, Maryland
		The materials on this site are licensed under CC BY-NC-SA
		4.0 
		
		Attribution-NonCommercial-ShareAlike
		
		This license requires that reusers 
		give credit to the creator. It allows reusers 
		to distribute, remix, adapt, and build upon the material in any medium 
		or format, for noncommercial purposes only. If others modify or adapt 
		the material, they must license the modified material under identical 
		terms.
		Previous print editions of the text Human Aging: Biological Perspectives 
		are © Copyright 2000, 1994 by The McGraw-Hill Companies, Inc. and 2020 
		by Augustine DiGiovanna.
		
		View License Deed |
		
		View Legal Code
Sources of images and videos. Used with
permission.

Description    English: 
Identifier:
americanjournroen07ameruoft (find
matches)
Title: The
American journal of roentgenology, radium therapy and nuclear medicine
Year: 1906 (1900s)
Authors: American
Radium Society American
Roentgen Ray Society
Subjects: Radiotherapy X-rays
Publisher: Springfield,
Ill. C.C. Thomas
Contributing Library: Gerstein
- University of Toronto
Digitizing Sponsor: University
of Toronto
View Book Page: Book
Viewer
About This Book: Catalog Entry
View All Images: All
Images From Book
Click here to view book
online to see this illustration in context in a browseable online version of this book.
Text Appearing Before Image:
Fig. 12. Multiple Diverticltl.v After
.\ Bar-ium ExEMA. A
few small diverticula. Class I. left-sided tumor one must al\va\s considerdiverticulitis. Up
to the i)resent
time roentgenologistshave perfected no special
technique for viz-
Text Appearing After Image:
FiG. 13. Multiple Diverticula. Plate made twent\-fourhours after barium
meal. Note that the diverticula aredefinitely
localized at junction of descendino- colon andsigmoid ./
and B. There is narrowing of the lumen ofthe colon
from inllammaton tissue and spasm. Class II. 71ie
Roentgen Ray in Diverticulitis of the Colon 429
Note About Images
Please note that these images are extracted from scanned page images that
may have been digitally enhanced for readability - coloration and appearance of
these illustrations may not perfectly resemble the original work.
Date        1906
Source            https://www.flickr.com/photos/internetarchivebookimages/14777444693/ 
·                 
Source book page: https://archive.org/stream/americanjournroen07ameruoft/americanjournroen07ameruoft#page/n443/mode/1up
Author     Internet Archive Book Images
Permission
(Reusing this file)      At the time of upload, the image license
was automatically confirmed using the Flickr API. For more information see Flickr API detail.
·                 
Flickr tags        bookid:americanjournroen07ameruoft
This image was taken
from Flickr's The commons. The uploading
organization may have various reasons for determining that no known
copyright restrictions exist, such as:
1.              
The copyright is in
the public domain because it has expired;
2.              
The copyright was
injected into the public domain for other reasons, such as failure to adhere to
required formalities or conditions;
3.              
The institution owns
the copyright but is not interested in exercising control; or
4.              
The institution has
legal rights sufficient to authorize others to use the work without
restrictions.
More
information can be found at https://flickr.com/commons/usage/. 
Please add
additional copyright tags to this image if more specific information about
copyright status can be determined. See commons:Licensing for more information.
               This image was
originally posted to Flickr by Internet Archive Book Images at https://flickr.com/photos/126377022@N07/14777444693. It was reviewed on 16 September 2015 by FlickreviewR and was confirmed to be licensed under the terms of the No known copyright
restrictions. 
 
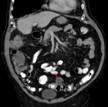
https://commons.wikimedia.org/wiki/File:03-Sigmadivertikulitis_CT_cor_001_Kleiner_Abszess.png
Description Deutsch: Sigmadivertikulitis in der Computertomographie (coronar rekonstruiert).
Perforation mit kleinem Abszess.
Source         Own work
Author         Hellerhoff
I, the copyright
holder of this work, hereby publish it under the following license:
                       This file is
licensed under the Creative commons Attribution-Share Alike 3.0 Unported license.                        
You are free: 
·                 
to share – to copy, distribute and transmit the work
·                 
to remix – to adapt the work
Under the following
conditions: 
·                 
attribution – You must give appropriate credit, provide a link to the license, and
indicate if changes were made. You may do so in any reasonable manner, but not
in any way that suggests the licensor endorses you or your use.
share alike – If you remix, transform, or build upon the
material, you must distribute your contributions under the same or compatible license as the original.                                             

https://commons.wikimedia.org/wiki/File:Hemorrhoid.png
Description                       Diagram showing a
variety of hemorrhoids.
Date                                  12
September 2006
Source                               [1]
Author                               wikipedianProlific
Other versions                  
Zoomed in.
                     Permission is
granted to copy, distribute and/or modify this document under the terms of the GNU Free
Documentation License, Version 1.2 or any
later version published by the Free Software
Foundation; with no Invariant Sections, no Front-Cover
Texts, and no Back-Cover Texts. A copy of the license is included in the
section entitled GNU Free Documentation License. 
This file is licensed under the Creative commons Attribution-Share Alike 3.0 Unported license.  
           You are free: 
·                 
to share – to copy, distribute and transmit the work
·                 
to remix – to adapt the work
Under the following
conditions: 
·                 
attribution – You must give appropriate credit, provide a link to the license, and
indicate if changes were made. You may do so in any reasonable manner, but not
in any way that suggests the licensor endorses you or your use.
share alike – If you remix, transform, or build upon the
material, you must distribute your contributions under the same or compatible license as the original.                                             
                        This licensing tag was added to this file as part of the GFDL licensing update.        

https://commons.wikimedia.org/wiki/File:Depiction_of_a_person_suffering_from_Appendicitis.png
Description English:
Depiction of a person suffering from Appendicitis. The typical
symptoms of Appendicitis have been shown.
Date           25 October 2019
Source        https://www.myupchar.com/en/disease/appendicitis
Author        https://www.myupchar.com/en
Permission
(Reusing this file)                  This work is free and may be used by anyone for any purpose. If
you wish to use this content, you do not need to
request permission as long as you follow any licensing requirements mentioned
on this page. 
The
wikimedia Foundation has received an e-mail confirming that the copyright
holder has approved publication under the terms mentioned on this page. This
correspondence has been reviewed by
an OTRS member and stored in our permission
archive. The correspondence is available to trusted
volunteers ticket
#2019081910003902. 
If you have questions about the
archived correspondence, please use the OTRS noticeboard. Ticket link: https://ticket.wikimedia.org/otrs/index.pl?Action=AgentTicketZoom&TicketNumber=2019081910003902 
I, the copyright
holder of this work, hereby publish it under the following license:
This file is licensed under the Creative commons Attribution-Share Alike 4.0 International license.         
You are free: 
·                 
to share – to copy, distribute and transmit the work
·                 
to remix – to adapt the work
Under the following
conditions: 
·                 
attribution – You must give appropriate credit, provide a link to the license, and
indicate if changes were made. You may do so in any reasonable manner, but not
in any way that suggests the licensor endorses you or your use.
share alike – If you remix, transform, or build upon the
material, you must distribute your contributions under the same or compatible license as the original.                                             

https://commons.wikimedia.org/wiki/File:Blausen_0246_ColorectalCancer.png
Description    Colorectal Cancer.
See a full animation of this medical
topic.
Date         between 1997 and 2013
Source      see ticket for
details
Author      Blausen Medical Communications, Inc.
Permission
(Reusing this file)                  This work is free and may be used by anyone for any purpose. If
you wish to use this content, you do not need to
request permission as long as you follow any licensing requirements mentioned
on this page. 
The
wikimedia Foundation has received an e-mail confirming that the copyright
holder has approved publication under the terms mentioned on this page. This
correspondence has been reviewed by
an OTRS member and stored in our permission
archive. The correspondence is available to trusted
volunteers ticket
#2013061010006654. 
If you have questions about the
archived correspondence, please use the OTRS noticeboard. Ticket link: https://ticket.wikimedia.org/otrs/index.pl?Action=AgentTicketZoom&TicketNumber=2013061010006654 
           This work is free and may be used by anyone for any purpose. If
you wish to use this content, you do not need to
request permission as long as you follow any licensing requirements mentioned
on this page. 
The
wikimedia Foundation has received an e-mail confirming that the copyright
holder has approved publication under the terms mentioned on this page. This
correspondence has been reviewed by
an OTRS member and stored in our permission
archive. The correspondence is available to trusted
volunteers ticket
#2013061010006654. 
If you have questions about the
archived correspondence, please use the OTRS noticeboard. Ticket link: https://ticket.wikimedia.org/otrs/index.pl?Action=AgentTicketZoom&TicketNumber=2013061010006654 
                        This file is
licensed under the Creative commons Attribution 3.0 Unported license.          
You are free: 
·                 
to share – to copy, distribute and transmit the work
·                 
to remix – to adapt the work
Under the following
conditions: 
attribution – You must give appropriate credit, provide a
link to the license, and indicate if changes were made. You may do so in any
reasonable manner, but not in any way that suggests the licensor endorses you
or your use.    
Videos
“Diverticulitis”
https://blausen.com/en/video/diverticulitis/
https://blausen.com/en/video/hemorrhoids/
https://blausen.com/en/video/appendicitis/